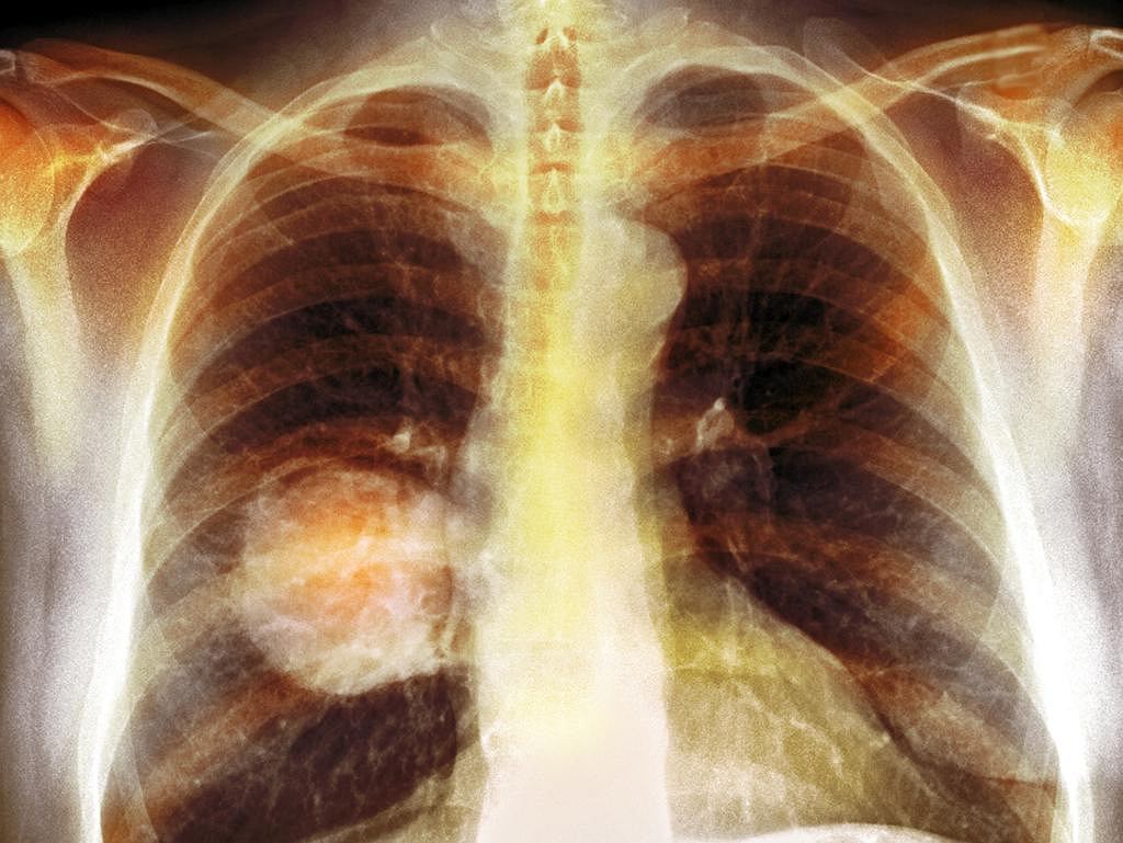
RAK PŁUC
Rokowania dla chorych na raka płuc są bardzo złe. Osoby, które nie są leczone, umrą prawdopodobnie za rok lub trochę później, niezależnie od rodzaju nowotworu. W ostatnim roku życia może dojść do bardzo nieprzyjemnych objawów, takich jak krwioplucie i utrata tchu. Zadziwiająco dużo palaczy uważa, że skoro palenie tytoniu zabija, to i tak jest dla nich za późno na zaniechanie palenia. To nieprawda. Rzucenie palenia naprawdę pomaga. Oczywiście, jeżeli będziesz czekał, aż zachorujesz na raka płuc, to będzie rzeczywiście za późno, ale jeżeli rzucisz palenie, zanim zaatakuje cię poważna choroba, znacznie zmniejszysz ryzyko śmierci z powodu palenia.